L’introduzione dello screening nasale mediante Pcr del Staphylococcus multiresistente in protocolli strutturati guidati dal farmacista consente di ridurre la durata della terapia antibiotica e...
Identificato in Lombardia un caso umano di influenza aviaria A(H9N2) in un paziente fragile proveniente da un Paese extraeuropeo. Le autorità sanitarie sottolineano che non vi sono criticità né...
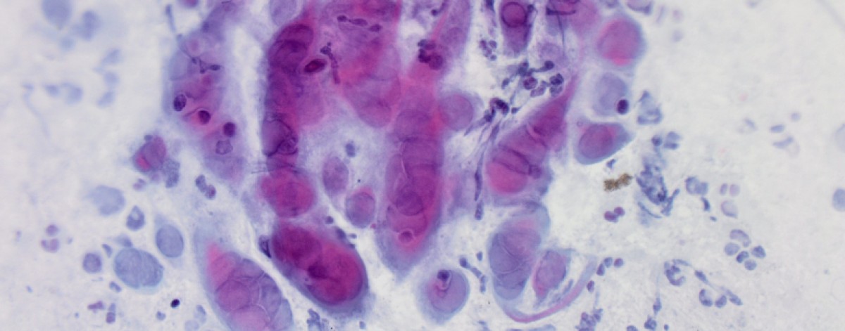
Nel report 2026 di Oms Europa ed Ecdc diminuiscono casi e decessi, ma persistono sottodiagnosi e multiresistenza. Progressi ancora insufficienti per raggiungere gli obiettivi di eliminazione della...
I test rapidi per il virus respiratorio sinciziale, utilizzati nell’assistenza territoriale, riducono significativamente il ricorso non appropriato agli antibiotici nei bambini con infezioni...
L’Ecdc segnala che nell’ultimo anno ci sono stati oltre 6.000 casi di morbillo e l’Italia tra i paesi con più segnalazioni. I dati mostrano che la maggior parte delle infezioni riguarda...
C’è una relazione diretta tra livello di obesità e rischio di infezioni gravi, con un rischio fino a tre volte maggiore nelle forme più severe. L’obesità risulta associata a un ampio spettro...
Dalla distinzione tra forme virali e batteriche all’uso di Centor score e tampone per lo streptococco, fino alla scelta tra terapia topica e sistemica: il farmacista come primo filtro clinico nella...
Il mal di gola richiede una gestione proporzionata alla sintomatologia, con priorità alle terapie topiche nelle forme non complicate. L’intervista al professor Diego Fornasari evidenzia il valore...
A Roma, nella Giornata mondiale per la lotta all’Aids, FarmaCrea ha messo al centro il contributo del farmacista nella prevenzione dell’Hiv. Presentato il nuovo progetto di Fenagifar
Le infezioni fungine cutanee rappresentano una quota significativa delle richieste di automedicazione e consulenza al farmacista, spaziando dal classico “piede d’atleta” a infezioni più...
L’innalzamento temperature medie altera cicli di vita degli insetti e ha effetti su salute umana. In Italia si sta prolungando in diverse aree la presenza delle zanzare, con il rischio che la loro...
Da quest’anno la sorveglianza delle infezioni respiratorie stagionali non riguarda più le sindromi simil-influenzali (ILI), ma le infezioni respiratorie acute (ARI), per una lettura più ampia e...
Un approfondimento pubblicato su VaccinesToday mette in evidenza come la vaccinazione rappresenti un pilastro per un invecchiamento in salute. Non si tratta solo di prevenire le infezioni, ma anche...
È in vigore la nuova normativa sull’uso dei disinfettanti per la cute negli ospedali: stop ai presidi medici, solo specialità medicinali autorizzate
A Verona le farmacie affiancano ASL e Comuni nella prevenzione della Chikungunya attraverso la lotta alla diffusione delle zanzare distribuendo a un prezzo agevolato il kit antilarvali
Salgono a 89 in Italia i casi confermati di infezione da West Nile Virus (WNV) nell’uomo (32 nel precedente bollettino) con 9 decessi. Lo afferma il terzo bollettino della sorveglianza
Parere positivo per la somministrazione semestrale di lenacapavir per la prevenzione dell'hiv da parte del comitato per i medicinali per uso umano (chmp) dell'agenzia europea per i medicinali...
L’Iss conferma 10 infezioni in Italia nel 2025, si concentrano a Latina dove la Asl ha avviato una task force. La Simit: Diagnosi precoce e sorveglianza, la chiave per contenere l’infezione. Ecco...
L’Oms è favorevole alla somministrazione ogni sei mesi per gli adulti a rischio di contrarre l’infezione: un'opzione promettente per ampliare l'accesso alla prevenzione. Pubblicate le linee...
L’Istituto Superiore di Sanità invita a prestare particolare attenzione alla prevenzione delle arbovirosi, malattie trasmesse da zanzare, zecche e altri vettori, in aumento anche in Europa,...

©2026 Edra S.p.a | www.edraspa.it | P.iva 08056040960 | Tel. 02/881841 | Sede legale: Viale Enrico Forlanini 21 - 20134 Milano (Italy)